두경부암센터
-
두경부암 수술 후 말을 못하게 되나요? 밥을 먹을 수 있나요?
진행된 두경부암의 경우 이전에는 완전한 수술적 제거가 유일한 치료방법이었습니다. 그러나 서울대학교암병원 갑상선∙구강∙두경부암센터에서는 수술 전 항암요법 및 항암방사선 치료를 수술과 병행하는 다학제적 접근법으로 진행된 두경부암에서 암 발생부위를 최대한 보존하며 그 기능을 최대한 유지하기 위해서 노력하고 있습니다. 그럼에도 불구하고 암치료를 위한 수술로 두경부영역에 결손이 발생할 경우 적극적인 재건술을 통하여 의사소통을 하거나 식사를 하는데 지장이 없도록 노력하고 있습니다. 또한 음성재활교육, 식이재활, 갑상선암 환자들을 위한 음성클리닉 등 다양한 전문 프로그램들을 서울대학교암병원에서 진행하며 수술 전 기능을 최대한 회복하기 위해서 노력하고 있습니다.
-
두경부암의 치료에는 어떤 것들이 있나요?
두경부암의 치료의 경우 암의 발생 부위와 암의 종류에 따라서 각각 다르지만 크게 수술, 방사선치료, 항암치료가 있습니다. 수술이 가능하다면 초기 두경부암의 경우에는 수술적 치료를 근간으로 조직검사 결과를 바탕으로 확정되는 악성 종양의 기수에 따라 수술 후 방사선 또는 항암방사선 치료를 추가하는 방법으로 치료를 합니다. 그러나 많이 진행되어 수술로 모든 암을 절제하기 힘든 경우에는 서울대학교암병원 갑상선·구강·두경부암센터에서는 다학제적 접근을 통하여 수술 전 항암치료를 통하여 암의 침범 범위를 줄인 뒤 수술을 하는 경우, 항암치료를 시행한 뒤 항암방사선 치료를 병행하는 경우, 방사선치료만을 시행하는 경우 및 항암방사선치료만을 시행하는 경우 등 암의 발생 부위, 암의 종류를 고려하여 시행하고 있습니다. 또한 기본적인 치료 원칙을 근간으로 환자 본인에게 각각의 치료방법의 장점과 단점을 충분히 설명하며 치료 후 삶의 질을 고려하여 환자 개개인에 맞춤 치료를 할 수 있도록 최선을 다하고 있습니다. 또한 악성 종양의 원발 병변의 근치적 수술 및 경부 림프절 전이에 대한 예방적 근치적 수술을 시행 후 발생 가능한 결손부위에 대해서 모양뿐만 아니라 기능적 재건을 위하여 유리 피판을 이용한 최적의 3차원적 재건을 시행하고 있습니다.
진행된 갑상선암의 경우 암이 갑상선뿐만 아니라 주변의 근육, 신경, 기관지 및 식도를 침범한 경우가 많고 대부분의 환자에서 경부임파선 전이가 동반되기 때문에 수술을 해야 합니다. 또한 진행된 갑상선암의 경우 침범된 기관지 및 식도를 악성종양과 함께 제거하며 동시에 결손 부위에 대한 재건이 병행되어야 합니다. 본 센터에서는 세계적 수준의 경험과 결과를 보고하고 있습니다.
-
두경부암을 예방하려면 어떻게 해야 하나요?
두경부암을 예방하는 방법은 생활습관의 변화가 제일 중요합니다. 흡연자의 경우 금연을 반드시 권하는 바 이며, 식생활에 과도한 알코올의 섭취를 줄이는 것은 매우 중요합니다. 또한 규칙적인 운동을 꾸준히 하여 건강한 신체 상태를 유지하는 것이 중요하겠습니다. 이와 더불어 서울대학교 강남건강검진센터의 경우 이비인후과 전문의가 직접 시행하는 이비인후과 내시경 검사를 기본 건강검진 프로그램에 포함시켜 아무런 증상을 보이지 않는 초기의 두경부암을 발견하여 서울대학교암병원 갑상선·구강·두경부암센터와의 긴밀한 협진으로 한발 앞선 치료를 통한 환자분들의 건강 증진을 위한 노력을 기울이고 있습니다.
-
두경암은 왜 생기나요? 두경부암을 일으키는 원인이 있나요?
두경부암의 경우 다른 신체부위의 암과 비슷하게 그 발생과 관련하여 정확한 기전은 제한적으로만 밝혀져 있습니다. 두경부암 발생부위들은 대부분이 외부환경에 노출되어 있고 숨을 쉬고 음식을 먹고 음료를 마시면서 지속적으로 외부물질과 접촉하는 부위입니다. 따라서 이러한 외부환경으로부터의 자극으로 인한 정상세포의 돌연변이로 발생한다고 알려져 있습니다.
그러나 몇몇 두경부암의 경우 발생과 강력한 연관성이 있다고 증명된 위험인자가 있습니다. 대표적인 것이 흡연과 후두암의 연관성입니다. 흡연자의 경우 비흡연자에 비해 1.7~2배 가까이 후두암이 발생한다고 알려져 있습니다. 흡연의 경우에는 후두암뿐만 아니라 구강암 및 구인두암 발생에도 강력한 위험인자 입니다. 음주 또한 흡연과 함께할 경우 점막 세포의 돌연변이를 일으켜 후두암, 구강암, 구인두암을 유발할 수 있다고 알려져 있습니다. 또한 인도와 대만 같은 지역에서 흔한 씹는 담배의 경우 구강암 및 비인두암의 위험인자로 알려져 있으며 이 지역에서 유난히 높은 발병률을 보이고 있습니다. 이외에도 바이러스 감염과 특정 두경부암의 발병과의 인과성이 제기된 연구들도 있습니다. 대표적인 바이러스로는 자궁겸부암을 일으키는 원인으로 잘 알려져 있는 인유두종 바이러스의 경우 구인두암의 발생과의 연관성에 대한 다수의 연구 결과가 전 세계적으로 발표되어 있고, 엡스타인-바 바이러스의 경우 비인두암의 발생과 관련이 있다고 알려져 있습니다.
-
두경부암의 진단은 어떻게 하나요?
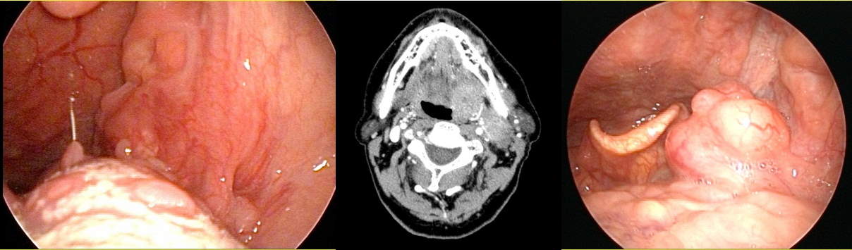
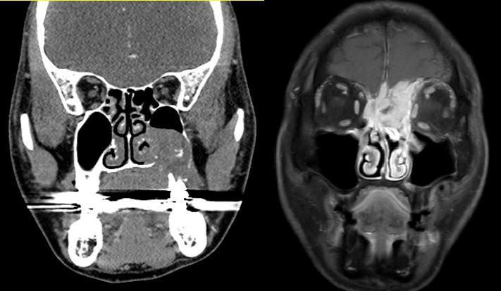
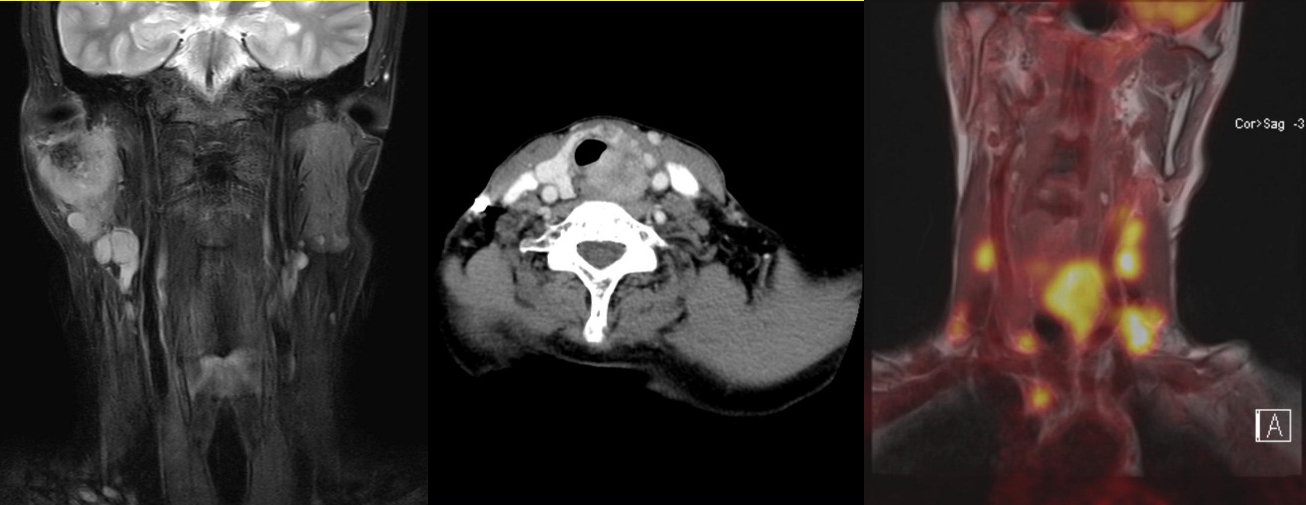
두경부암의 진단의 경우에는 크게 신체검사와 영상검사를 통해서 진단하게 됩니다. 신체검사의 기본은 이비인후과적 내시경 검사이며 이때 환자가 호소하는 증상과 연관된 부위를 중심으로 증상을 유발할 수 있는 모든 부위를 내시경으로 자세히 검사하게 됩니다. 두경부암의 경우 경부임파선 전이가 드물지 않기 때문에 양손을 이용하여 전문의가 시행하는 경부 촉진검사 또한 매우 중요합니다. 원발부위로 의심되는 병변이 발견될 경우에는 접근이 쉬운 부위의 경우 외래에서 조직검사를 바로 시행하며, 후두암이나 하인두암 같이 외래에서 조직검사가 용이하지 않은 부위는 조직검사 및 병변의 진행정도 평가를 위해서 전신마취를 해야 할 수 있습니다. 또한 경부전이 여부를 정밀검사 하기 위하여 경부 전산화단층 촬영(CT) 및 초음파 검사를 시행하게 됩니다. 마지막으로 진행된 두경부암의 경우에는 최종 치료 방침을 결정하고 치료를 시작하기 전에 원격전이가 없는지 여부 확인을 위해서 PET 검사를 추가로 시행하게 됩니다.
-
두경부암은 특별한 증상이 있나요?
두경부암의 증상은 암의 발생 부위와 암의 진행 정도에 따라 달라지는데, 구강암의 경우 입안의 특정부위에 궤양이 발생하며 백색 혹은 적색으로 변색되면서 통증을 동반하며 주변부위에 비해서 돌출되는 양상이 지속될 경우 의심해 볼 수 있습니다. 구인두 또는 하인두암의 경우 초기에는 목안의 통증 및 이물감만 있어 발견이 힘든 경우가 많습니다. 병원에는 주로 삼키기 힘든 증상이나 목에 멍울이 만져저서 내원하게 되고 이런 경우 경부임파선 전이 등이 있어서 진행된 기수 상태에서 발견되는 경우가 흔합니다. 후두암의 경우 주로 지속되는 목소리 변화를 호소하면서 병원을 방문하게 되며 호흡곤란 증상으로 발견되는 경우에는 진행된 상태일 경우가 많습니다. 비인두암과 비강 및 부비동암의 경우에는 주로 코막힘 증상만 있는 경우가 흔해서 이 또한 초기에 발견하기가 쉽지 않은 두경부암입니다. 특히 비인두암은 일측의 귀충만감을 동반하는 경우가 흔해서 한쪽 귀만 반복적으로 막히는 증상과 함께 성인에서 일측의 중이염이 발견된다면 비인두암을 의심하여 정밀 검사를 반드시 시행하는 것이 좋습니다.
-
두경부암은 무엇인가요?
‘두경부암’은 뇌기저부에서 종격동까지의 구간에 발생하는 구강암, 비강 및 부비동암, 편도 및 인두암, 후두암, 갑상선암, 귀암, 침샘암 등의 모든 암을 통칭합니다. 두경부암은 환자의 먹고 숨쉬고 말하는 기능과 밀접한 연관이 있어서, 암을 완치시키는 것뿐만 아니라 치료 후 삶의 질을 향상시키는 것 또한 매우 중요하다는 특징이 있습니다.

구강암: 설암, 구강저암, 입술암

구인두암: 편도선암, 경부임파선 전이가 있는 편도선 암, 혀뿌리암

하인두암, 성문상부 후두암, 성문부 후두암

비부비동암: 상악동암, 비강암

침샘암 (이하선암), 기도와 식도를 침범한, 다수의 경부임파선 전이를 동반한 진행된 갑상선암