질환 관련 정보 – 대장암, 직장암
1. 대장암/직장암 진단을 위한 종양영상센터의 역할
대장암-직장암의 진단, 병기 판정 및 치료 반응 평가(함암 치료 또는 방사선 치료 등), 수술 후 추적 검사 등을 위하여 전산화단층촬영(CT), 자기공명영상(MRI) 등을 촬영하고 판독합니다. 가상 대장내시경검사(CT colonography)를 시행하고 판독합니다.
2. 진단 및 검사
ㆍ직장암의 진단 및 병기 판정
직장암의 진단 및 병기 판정에서 일반적으로 CT 및 MRI 가 이용되며, 직장암의 국소 침범 범위 판정에는 뛰어난 조직 대조도를 보이는 MRI 검사가 큰 도움이 됩니다.

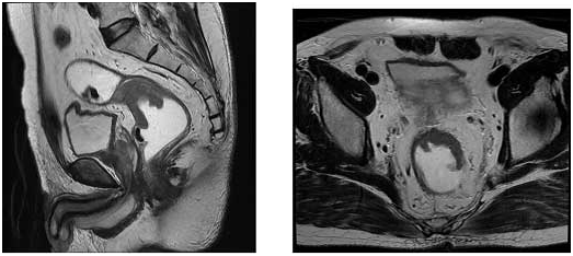
[실제 직장암 환자에서 MRI 소견]
좌측의 사진은 직장을 옆에서 잘라 본 영상이고, 우측의 사진을 직장을 횡단면으로 잘라서 본 영상입니다. 직장의 앞 벽에 궤양을 동반한 침윤성 종괴가 보이고 있어 직장암에 합당한 소견입니다. (화살표) 직장암의 침범 범위는 직장벽을 뚫고 주변 조직으로 침윤하고 있어 국소 진행성 병기(T3)의 직장암임을 알 수 있습니다. 이와 같이 MRI 검사는 여러 방향에서 바라 본 영상을 제공해 줄 수 있고, 조직간의 대조도가 뛰어나다는 장점으로 인해 정확한 진단 뿐만 아니라 직장암의 범위를 정확히 알게 함으로써 환자에게 적합한 치료 방침을 결정하는데 큰 도움이 됩니다. 이 환자의 경우에는 수술 전 항암방사선화학요법으로 직장암의 침범 범위를 줄인 후에 수술을 시행 받았습니다.
ㆍ가상 대장내시경검사 (CT colonography)
전산화단층촬영(CT) 기계의 발전에 따라 새로이 등장한 검사 방법으로 대장암 조기 발견을 위한 선별 검사법의 하나로 최근 각광을 받고 있습니다. 특히 6 mm 보다 큰 용종(폴립) 발견에 있어 대장내시경과 대등한 발견율을 보이는 것으로 알려져 있습니다. 대장암에 의한 폐쇄로 인해 대장 내시경 통과가 불가능할 때 폐쇄 상부 대장에 대한 검사를 해야 하는 경우에도 유용합니다.

가상 대장내시경검사를 시행하면 좌측의 사진과 같이 우리 몸 속의 대장을 투시하는 영상을 얻을 수 있습니다. 하행 결장에 사과 속 모양의 협착 부위가 보입니다. (화살표) 전형적인 대장암에 의한 협착 소견입니다. 또한 우측의 사진과 같이 내시경으로 실제 보는 것과 같은 영상을 구현할 수 있어 대장암에 의한 협착 부위를 확인할 수 있습니다.
ㆍ 대장 및 직장암의 병기 설정을 위한 양전자 방출 단층촬영(PET)
일반적으로 대부분의 대장 및 직장암은 암의 증식 속도가 빠르며 이로 인하여 포도당 유사체를 이용한 양전자 단층 촬영에서 강한 섭취를 보이게 됩니다.따라서 악성종양을 영상화하는 데 유용한 포도당 유사체를 이용한 양전자 방출 단층촬영은 대장암 및 직장암의 초기 병기설정을 보다 정확하게 하는 데 도움이 됩니다.

64세 남자 환자로 결장암으로 진단받고 전이 병변에 대한 평가를 위해 포도당 유사체 양전자 방출 단층촬영 영상입니다.결장 부위에 강한 포도당 유사체 섭취 병변이 관찰되며 결장암 병변으로 판단이 됩니다. 간에 강한 포도당 유사체 섭취를 보이는 여러 병변들이 관찰되며 간전이로 판단이 됩니다.또한 간 주변에 림프절 전이로 보이는 병변이 함께 관찰되고 있습니다.환자는 초기 진단시에 적절한 병기 설정이 되었고 수술 대신 항암치료를 시작하였습니다.