고주파 열 치료술 (RFA)
초음파 영상을 보면서 피부를 통해 특수 전극이 부착된 바늘을 종양 안에 삽입한 다음에 고주파 영역에서 교차하는 전류를 통하게 되면 종양세포 안의 이온들이 흔들리게 되고 100℃ 전후의 마찰열이 발생합니다. 간암 고주파 열 치료술은 이 마찰열로 종양세포를 괴사시키는 치료법입니다. 대부분 경피적인(Percutaneous) 방법으로 시행하며, 수술의 보조적인 방법으로 개복 하에 시행하기도 합니다.
ㆍ고주파열치료술의 적응증
- 간암의 개수가 3개 이하, 크기가 4cm 이하인 경우
- 초음파 상 치료하고자 하는 종양이 잘 보일 경우
- 수술 적 절제가 어렵거나 수술을 원하지 않는 경우
- 출혈 요인이 없거나 있어도 수혈로 교정 가능한 경우
- 심한 간 기능 저하가 없는 경우(간 기능 분류 기준 Child A 또는 B)
ㆍ준비사항
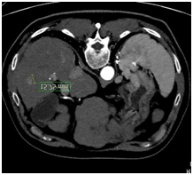
- 시술 전에 CT나 MRI영상을 촬영하여 시술 할병변의 개수와 크기를 확인
- 시술 전 6시간 금식
- 혈소판 (PLT 5만 이상, PT-INT 1.2이하)
- 시술 1주일 전부터 항응고제 복용 금지
ㆍ검사방법
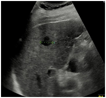
고주파 치료술은 접근하는 피부와 연부조직, 복벽을 초음파를 보며 국소마취 하에 시행하며 대부분 통증을 조절하기 위해 진통제와 함께 진정제를 투여하여 수면을 유도합니다. 마취 후 2~3개의 전극바늘을 태우고자 하는 간 종괴 또는 그와 인접한 간 실질로 삽입하고 고주파를 발생시켜 종양을 태웁니다. 필요하면 종양의 위치에 따라 복강 안에 의도적으로 물을 집어 넣어 복수를 만들기도 하는데, 이는 종양이 담낭, 위, 대장 등과 가까이 위치하는 경우 장기의 손상을 줄이기 위해서입니다.


CT 또는 MRI로 병변 확인 초음파로 병변 확인

초음파와 CT, MRI 융합기법을 이용하여 고주파 소작치료

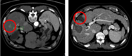
치료 전 CT 치료 후 CT
ㆍ간암 고주파 열 치료술의 장점
- 수술보다 환자의 통증이 적어 다음날 퇴원 가능
- 1회 치료만으로 암은 완전하게 괴사 가능
- 동맥색전술 이나 알코올 주입술로 치료 되지 않는 다른 암이나 전이된 간암에 대해서도 치료가 가능
ㆍ고주파 열 치료의 부작용
치료한 부위에서 출혈이 있거나 감염과 농양 형성이 있고, 병변 위치에 따라 담낭염이나 장 천공이 생길 수 있습니다.또한 혈관 손상으로 동맥류 형성과 간의 경색이 올 수 있습니다. 하지만 이런 부작용은 매우 드물며 2% 이내로 발생합니다.
ㆍ치료 후 퇴원 관리
시술 부위의 통증이나 주변 부위의 방사통이 흔하게 발생합니다. 시술 직후 3시간 정도 통증의 경감, 출혈, 감염여부를 주의깊게 확인해야 합니다. 시술 후 2주정도는 무리한 활동이나 과격한 운동을 피해야 하며 가벼운 일상 생활은 가능합니다. 간 기능 회복을 위해 균형 있게 영양분 섭취를 해야 합니다.