소아골종양
골종양의 경과는 다양해서, 비골화성 섬유종과 같이 저절로 정상 뼈로 대체될 수 있는 종양에서부터 골육종과 같이 주위 조직을 침범하거나 전이를 일으켜 사망에 이를 수 있는 종양까지 다양하게 나타납니다. 골종양을 방치할 경우 병적 골절 등의 합병증이 발생할 수 있으며, 주위 조직을 침범하거나 전이를 일으켜 기능 장애나 생명에의 위협을 초래하기도 합니다. 골종양에 대한 수술 후에는 골절이 발생하기 쉬우므로 대부분 적절한 고정을 요하며, 악성 골종양의 경우에는 광범위 절제를 위해 신경이나 혈관이 희생될 수도 있습니다. 또한 수술 시간이 길고 결손부 재건을 위해 인공물을 삽입하는 경우가 흔하여, 수술 부위의 세균 감염이 다른 수술 시보다 많이 발생하므로 주의를 요합니다. 항암 화학 요법을 시행하게 되는 경우 머리가 빠지거나 구역 구토 등의 항암제 부작용을 겪을 수 있으며, 방사선 치료의 경우 해당 부위의 연부조직이 섬유화되거나 과도한 방사선 조사로 새로운 암이 발생할 수도 있습니다.
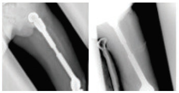
치료 종료 후 관리
골종양은 수술, 항암 화학 요법 등의 치료가 끝난 후에도 정기적인 진료가 필요합니다. 이 때에는 재발 여부나 감염 여부, 종양 대치물의 상태 등이 주요 관심사가 되며, 이를 위해 환자 검진, X-ray나 MRI 등의 영상 검사, 피검사 등을 시행하게 됩니다. 소아 골종양 환자의 경우 수술 후 환자의 성장에 따라 사지 길이의 차이가 발생할 수 있는데, 이 경우 종양 대치물의 길이를 늘리는 수술이나 성장판을 조절하는 수술 등이 필요할 수 있습니다. 또한 종양 대치물의 기계적 수명이 다한 경우 새로운 대치물로 바꾸는 수술이 필요할 수 있습니다.

[사진] 성장에 따라 다리 길이를 맞추기 위해 종양 대치물의 길이를 늘려 준 사진