대장암
대장암 검진은 직장수지검사를 포함한 신체 검진으로부터 시작하여, 분변잠혈검사(대변 내에 피가 섞여 있는지 보는 검사), 대장조영술(엑스선검사), 내시경검사, 혹은 CT 대장조영술 검사로 이어집니다. 이러한 검사에서 대장암으로 진단된 경우 병의 진행정도를 알아보기 위해 전산화단층촬영(CT), 자기공명영상검사(MRI), 양전자단층촬영(PET) 등의 검사를 시행할 수 있습니다.
직장수지검사
검사자가 항문을 통해 손가락을 삽입하여 직장부위 종양을 진단하는 것으로 이 부위에 발생하는 종양을 쉽게 확인할 수 있습니다. 직장암의 75%, 전체 대장암의 약 35%가 직장수지검사만으로도 진단이 가능합니다. 40세 이후에는 매년 1회의 직장수지검사가 권장되고 있습니다.
대변검사(분변잠혈 반응검사)
흔히 대변검사라 칭하는 것으로 대변의 혈액성분을 확인하는 것입니다. 검사에서 양성인 경우 정확한 진단을 위해 대장내시경 검사를 받아야 합니다. 많은 사람들을 대상으로 하는 집단검사에서 1차 검사 방법으로 효과가 검증된 간단하고 경제적인 검사법입니다.


[그림] 분변잠혈검사
이중바륨 대장 조영술
항문을 통해 작은 튜브를 삽입하고 바륨이라는 조영제와 공기를 넣고 대장 내부를 공기로 확장시킨 다음, 대장 속의 대장 점막에 이상이 있는지 검사하는 방법입니다. 검사 중 진통제나 수면유도제가 필요치 않으며 전체 대장을 안전하게 검사할 수 있다는 장점이 있는 반면, 정확한 검사를 위해 하제를 이용하여 장을 비우는 것이 필요하고 방사선 노출 위험이 있다는 단점이 있습니다. 무엇보다 작은 병변에 대해서 예민도가 대장 내시경 검사에 비해 낮아 작은 용종이나 암을 발견하지 못할 수 있습니다. 용종이나 암이 의심되는 경우 정확한 진단 및 조직검사를 위해 대장 내시경 검사를 추가로 받아야 합니다.


[그림] 이중바륨 대장조영술
에스 결장경
내시경의 일종으로 대장 내시경보다는 길이가 짧습니다. 간단한 관장 후 대장을 직접 관찰할 수 있고 비용이 저렴하다는 장점이 있지만, 전체 대장을 관찰할 수는 없고 항문으로부터 약 60cm 내외 거리에 있는 하행결장까지만 관찰이 가능합니다. 에스 결장경 검사에서 용종이 확인되면 관찰하지 못한 대장의 상부에 용종이나 암이 있을 가능성이 있으므로 대장 내시경 검사가 추가로 필요합니다.
대장 내시경
항문을 통하여 내시경을 삽입하여 대장 전체를 관찰하는 검사로 대장 질환을 가장 정확히 진단할 수 있습니다. 환자는 검사를 위해서 전날 저녁식사는 죽 등으로 가볍게 하고 하제를 복용하여 대장 내에 남아있는 변을 제거하여야 합니다. 대장 내시경검사는 대장암, 대장 용종의 발견에 있어 진단율이 매우 높고 조직검사와 용종 제거가 가능하므로 매우 유용한 검사법이나, 검사하는 동안 통증을 느낄 수 있고, 통증을 줄이기 위해 수면유도제를 사용할 경우 약물사용으로 인한 부작용이 나타날 수 있습니다. 또한 낮은 확률이지만 장 천공 등의 합병증이 생길 수 있으며, 암 등으로 대장이 막혀 있으면 더 이상 검사를 진행할 수 없는 단점이 있습니다.


[그림] 대장 내시경
CT 대장 조영술
CT 대장 조영술 검사는 항문에 튜브를 삽입하고 공기나 이산화탄소를 주입하여 장을 부풀려서 CT 촬영하여 영상을 얻고, 이 영상들을 컴퓨터에서 3차원 영상 재구성 소프트웨어를 이용하여 마치 내시경으로 대장 내부를 보듯이 가상의 이미지를 만들어내어 대장을 관찰하는 검사입니다.
CT 대장 조영술의 장점은 안전하고 검사시간이 매우 짧다는 점입니다. 장 천공이나 출혈 등의 합병증이 거의 없고 대장 내시경처럼 통증을 줄이기 위해 안정이나 수면유도제를 사용할 필요가 없기 때문에 10분에서 15분 만에 검사를 끝내고 곧바로 집이나 직장으로 돌아갈 수 있습니다. 또한 고령이나 심장병, 신장병 등의 여러 가지 내과적인 질환을 앓고 있어 대장 내시경 검사를 받기 어려운 경우에도 검사가 가능합니다. 암으로 인해 대장이 막혀서 내시경이 통과하지 못하는 경우에도 상부 대장의 상태를 평가할 수 있으며, 일반 복부 CT 검사와 마찬가지로 대장뿐 아니라 배 속의 내부 장기 즉, 간, 담낭, 췌장, 비장, 신장 등의 다른 장기도 함께 검사할 수 있습니다.
그러나 정확한 검사를 위해 대장을 비우는 것이 필수적이므로 대장 내시경과 같은 방법으로 하제를 이용해 장을 비워야 합니다. 대장암을 진단하는 데는 우수하지만 대장 내시경에 비해 6mm 미만의 작은 용종 발견율이 낮고, 가끔 잔변과 암의 구별이 어려운 경우가 있으며, 환자가 방사선 조사를 받아야 하고, 암이나 용종이 발견되어도 조직검사를 할 수 없어 다시 대장 내시경 검사를 받아야 하는 단점이 있습니다.

[사진] CT 대장조영술
대장암이 진단된 경우 시행하는 검사
1. 암 태아성 항원(CEA) 검사
종양 표지자인 CEA는 태아시기에 정상적으로 만들어지는 일종의 당단백질로, 태어나기 전에 이 물질의 생산이 중단됩니다. 만약 혈액검사에서 종양 표지자 CEA 수치가 높다면 이것은 대장암이나 다른 암이 있을 가능성이 있으므로 정밀 검사를 받아야 합니다. 그러나 CEA는 폐암이나 흡연자에서도 증가할 수 있어 대장암을 진단하기에는 부적합하고 대장암의 수술 전 병기 판정이나 암 치료의 효과를 검사하기 위해서 또는 암의 재발 확인을 위한 검사에서 보조적으로 쓰입니다.
2. 전산화 단층촬영(CT)
주로 대장암을 진단하고 암이 주변 장기나 간, 림프절 등으로 전이 되었는지 알아보는데 가장 널리 사용되는 검사입니다. 검사 전날 특별한 처치는 필요하지 않으며 검사 당일 8시간 정도의 금식이 필요하고 정확한 검사를 위해 정맥 주사를 통해서 조영제를 주입 받고 검사를 받습니다. 이때 신장의 기능이 떨어져 있는 환자나 조영제에 알레르기 반응, 즉 조영제 주사 후 심한 구토, 피부 발적, 두드러기, 가려움증, 목이 붓고 쉬는 듯 한 증상을 보인 적이 있는 환자는 검사 전에 담당의사와 상의해야 합니다.
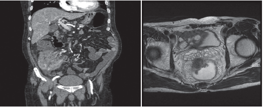
3. 자기공명영상(MRI)
MRI 검사는 CT검사에서 간 전이가 명확하지 않거나 간으로 전이된 암의 개수를 정확히 파악하고자 할 때 보조적으로 사용됩니다. 직장암 환자에서 시행하는 MRI의 경우, 직장 주변으로 암이 얼마나 퍼졌는지 알아보는데 유용하여 직장암 진단 후 치료 방침을 결정하는데 도움이 됩니다. CT검사와 다른 종류의 조영제 주사를 이용하므로 CT검사에서 사용되는 조영제에 부작용 반응을 보이는 경우에도 검사할 수 있습니다. 그러나 검사비가 비싸고, 검사 시간도 CT검사에 비해 길며, 좁은 원통형 공간에 들어가 검사를 하므로 폐쇄 공포증이 있는 경우에는 검사를 하기 어렵습니다.

[사진] MRI
3. 초음파검사
초음파검사로 소장 및 대장을 관찰하는 것은 매우 제한적이어서 대장암 진단의 민감도가 매우 낮습니다. 따라서 대장암의 진단보다는 전산화단층촬영(CT)과 상호보완적으로 배 안의 장기로 암이 퍼졌는지 파악하는데 주로 사용됩니다. 특히 간전이와 양성낭종 등을 구분하는데 도움이 됩니다.
반면, 직장암의 경우에는 초음파 검사가 매우 중요한 정보를 제공합니다. 초음파검사 방법 중 항문을 통해 시행하는 직장초음파검사는 자기공명영상(MRI)과 비슷한 정도로 직장암의 침범 깊이 파악 및 주변의 커진 림프절 발견에 정확도가 높아 병기 판정을 통한 직장암의 치료 방침 결정과 환자의 예후 판정에 도움이 되는 검사입니다.
4. 양전자방출 단층촬영(PET) 및 PET-CT 검사
일반적으로 암세포가 정상세포에 비해 대사활동이 빠른 점을 이용하여 포도당에 양전자 방출체를 표지물질로 부착시켜 주사한 후 표지물질로부터 방출되는 감마선으로 암세포를 발견하는 검사법입니다. 그러나 이 검사로부터 얻어지는 영상은 암의 정확한 위치가 어디인지 구별하기 어려울 때도 있고 암이 아닌 염증성 변화에도 양성을 보이는 단점이 있습니다. 이러한 단점을 보완하기 위해 PET검사와 함께 CT검사도 시행하여 두 검사의 결과를 하나의 영상으로 조합하는 PET-CT검사가 새로이 개발되었습니다. 이 검사는 단독으로 시행되는 일은 드물며 수술 전 CT에서 간전이 등이 의심될 때 MRI검사와 함께 간 내의 전이암 개수의 정확한 파악이나 타 장기로의 전이를 확인하고자 할 때 사용되기도 하고 특히 수술 후 추적 CT검사에서 재발 또는 전이가 의심되는 경우에 추가로 사용됩니다.

[사진] PET-CT