뇌종양센터
뇌종양센터
-
뇌종양이란?
뇌종양은 뇌와 뇌주변 구조물에 생긴 양성 또는 악성 종양을 포괄적으로 칭하는 용어입니다. 그 안에서도 뇌내에서 시작되는 원발성(primary) 종양과 뇌밖에서 생긴 암이 뇌로 전이된 이차성(secondary) 종양으로 크게 구분할 수 있습니다. 원발성 뇌종양은 다시 그 기원 조직에 따라 여러 종류로 세분화 할 수 있는데, 대표적인 종양으로 뇌수막종(meningioma), 신경초종(schwannoma), 뇌하수체선종(pituitary adenoma), 뇌교종(glioma) 등을 들 수 있습니다. 각각의 종양 안에서도 병리∙조직학적 상태에 따라 여러 등급으로 분류될 수 있습니다. 이처럼 뇌종양은 원발성 종양이냐 이차성 종양이냐, 그 기원 조직이 어떤 것이냐에 따라, 그리고 병리학적 등급에 따라 수술적 치료의 전략과 수술 이후의 방사선치료, 항암치료 등의 치료법이 모두 달라지게 됩니다.
또한 뇌종양은 뇌라는 특성상, 생긴 위치나 크기에 따른 수술 전 신경학적 상태가 모두 다르고, 이에 따라 다양한 치료법의 적용 범위 및 치료 후의 예후가 모두 달라지게 됩니다.

※ 양성 뇌종양은 주변 조직과 비교적 명확한데 비하여 악성뇌종양은 뇌 조직안으로 침윤하는 성향이 있어 완전 절제가 어려움
-
뇌종양의 원인 및 증상
현재까지 뇌종양의 원인에 대해서는 정확히 알려진 바가 없습니다. 일부에서는 몇몇 유전성 질환과 관련되어 있는 것으로 알려져 있습니다.
증상의 발생은 크게 두개강내압 항진에 의한 증상과, 신경세포의 국소적 자극이나 파괴에 의해 나타나는 증상으로 나눌 수 있습니다. 두개강내압 항진에 의해서는 오심, 구토, 두통 등이 있을 수 있으며, 국소자극이나 파괴에 의해서는, 간질과 해당 부위에 따른 신경학적 장애를 유발할 수도 있습니다.
-
대표적인 뇌종양에 대한 소개
1. 뇌교종
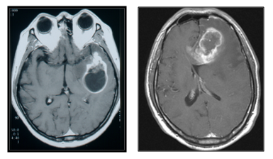
뇌교종(glioma)은 교세포라는 뇌구성 세포들에서 기원한 종양을 뜻하는 포괄적인 용어입니다. 뇌교종 중 절반 이상이 악성이며, 이러한 뇌교종 중, 빈도가 가장 많고 악성도 역시 가장 높은 악성 뇌교종이 교모세포종 (glioblastoma)입니다. 교모세포종은 성인에서 발생하는 원발성 두개강내 종양 중 약 1/4를 차지하는 비교적 흔한 종양으로 최신 치료법에도 불구하고 평균 생존 기간이 14개월 정도 되는 악성도가 매우 높은 종양입니다. 주로 40대 이상의 연령에 많으며 매년 인구 10만명당 5~6명의 발생 빈도를 보이는 것으로 알려져 있습니다.
※ 모세포종의 전형적인 MRI 소견 – 조영증강이 잘되며, 경계가 불규칙하고 내부에 조영증강이 잘되지 않는 괴사 부위를 포함하고 있고 주변으로 심한 뇌부종을 동반하고 하고 있음일반적으로 교모세포종의 수술적 치료의 목적은 1) 정확한 병리학적 진단 2) 두개강내압 상승과 뇌조직 압박에 의한 신경학적 증상의 완화 3) 방사선 및 항암화학요법의 치료 효과를 증대시킬 목적으로 시행하게 됩니다. 최근에는 형광유도물질을 이용하여 뇌종양세포만 선택적으로 제거하고 완전 절제율을 높이는 수술적 치료법도 많이 사용되고 있습니다.
※ 형광유도물질을 이용한 교모세포종 수술에서 뇌종양세포만 붉은색을 띄고 정상조직은 푸른색을 띄어 종양을 선택적으로 절제하는 데 도움을 받고 있음특히, 최근에 여러 종료의 항암화학요법을 위한 치료제가 개발되었으나, 뇌조직에는 혈류-뇌 장벽(blood-brain barrier)라는 특별한 구조로 인해, 뇌종양의 사용에는 제한적인 효과만 보고 있습니다. 이들 중 Temozolomide라는 경구 항암제는 뇌침투율이 높고 부작용이 적어서, 이를 이용한 항암-방사선 병합치료가 표준치료로써 많이 이용되고 있습니다.2. 뇌수막종뇌수막종(meningioma)는 가장 흔히 접하는 원발성 뇌종양 중의 하나로, 주로 성인에서 발생하며, 2:1의 비율로 여성에게서 많이 발생하는 것으로 알려져 있습니다. 생기는 위치는 천막상부가 90% 이상이나 천막하부 및 드물게 뇌실내에서도 발생합니다. 아래 그림에서 보듯이 뇌수막종의 임상증상은 종양의 위치와 크기에 따라 달라지게 됩니다. 주로는 두개강내압 항진에 의한 증상과 신경세포의 국소적 자극으로 나눌 수 있으며, 최근 들어 CT, MRI의 보급이 늘면서 증상이 없이 우연히 발견되는 경우가 많습니다.가장 대표적인 치료법은 수술적 방법을 통한 완전제거입니다. 하지만, 이는 뇌수막종의 위치나 크기, 신경학적 장애 위험 등을 모두 고려해야 합니다. 최근에는 잔여 종양이나 재발 종양에 감마나이프 수술 등의 방사선 수술을 시행함으로써 종양조절률을 높이고 신경학적 장애를 적게 남기는 방법도 많이 이용되고 있습니다.뇌수막종의 경우에는 양성종양이 대부분을 이루고 있지만, 세포분화도가 높은 이형성 수막종(atypical meningioma), 악성 수막종(anaplastic meningioma) 등이 있으므로, 정밀한 병리학적 진단이 필요하며, 경우에 따라서는 추가 치료가 필요한 경우도 있습니다.
※ 뇌수막종의 전형적인 MRI 소견 – 균일한 조영증강을 보이며, 주변 뇌조직과는 비교적 경계가 분명한 형태를 보임, 크기나 생긴 위치에 따라 수술적 접근법이 달라지며, 추가 치료 여부도 달라지게 됨3. 뇌하수체 종양뇌하수체 종양은 뇌하수체및 뇌하수체 줄기부위에서 발생하는 종양들을 일컬으며 가장 많은 것은 뇌하수체 선종과 두개인두종입니다.
뇌하수체 종양의 경우에는 뇌하수체 기능의 저하로 인하여 피곤감, 성기능 저하, 불규칙한 생리, 다음, 다뇨 등이 발생할 수 있습니다. 종양에서 호르몬을 과다분비할 경우 손발 커짐, 얼굴뼈의 변화, 당뇨, 고혈압, 비만, 유즙분비, 무월경, 갑상선 기능 과다증이 발생할 수 있습니다. 종양의 주변 신경조직을 압박하여 시력 및 시야 감소, 복시, 안구 마비 등이 발생할 수 있습니다.종양의 특성과 자연사(natural history)에 따라 경과 관찰, 약물 투여, 수술, 방사선 치료, 방사선 수술을 시행하고 경우에 따라 이러한 치료들을 조합하게 됩니다. 수술적 치료가 필요할 시에 뇌하수체 주변부는 개두술을 통해 접근하기 어려운 경우가 많아 비강을 통해 접근하는 수술 방법을 주로 이용하게 됩니다.뇌하수체 주변부에 발생하는 종양은 대부분 병리적으로 양성이기 때문에 완전 적출 시 재발율은 악성 종양에 비해 매우 낮은 편입니다. 종양의 범위와 종류에 따라 신경학적 결손, 호르몬 이상이 발생할 수 있기 때문에 정기적인 검사와 치료가 필요합니다. -
감마나이프 수술이란?
1. 원리와 개념
감마나이프 수술은 돋보기와 비슷한 원리를 적용하여 머리 주위에서 192개의 다른 방향에서 감마선을 쏘아 그 중심에 초점을 형성하고 종양을 이 초점에 놓아 종양까지 이르는 정상 세포는 영향을 거의 받지 않으면서 종양세포의 성장을 억제시키는 것입니다. 개두술이상의 정확성을 가지지만, 전신 마취없이 머리를 열지 않고 시행하는 수술입니다.
2. 치료대상질환
감마나이프 수술은 거의 모든 뇌종양과 동정맥 기형 등 뇌혈관질환, 그리고 기능적 뇌질환의 치료에 적용할 수 있습니다. 특히, 고령이나 기저질환 등으로 인해 수술 위험도가 높거나 두 개내 병변이 위험부위에 있어서 수술하기에 어려운 경우에도 감마나이프 수술을 적용할 수 있습니다. 자세한 적용 대상은 다음과 같습니다.
1) 양성 종양: 청신경종양, 뇌수막종, 뇌하수체종양, 두개인두종, 혈관아세포종, 송과체종양 등 거의 모든 양성 종양
2) 악성 종양: 악성 신경교종, 전이성뇌종양, 배아성 종양, 두경부의 악성종양 등
3) 혈관 종양: 뇌동정맥기형, 해면상혈관종 등
4) 기능성 뇌질환: 삼차신경통, 운동장애질환 등
5) 기타 뇌종양
모든 종양을 감마나이프 수술로 시행할수 있는 것은 아닙니다. 종양의 종류와 크기, 위치 등의 종합적인 고려를 통해 감마나이프 수술 가능 여부가 결정되기 때문에 담당 의료진과 상의가 필요합니다.